Mulhouse Zoological and botanical garden

Mulhouse Alsace Agglomération

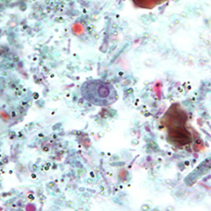
Retortamonas intestinalis

Retortamonas intestinalis is a flagellate protozoa of the cecum of primates.

Epidemiology

Retortamonas intestinalis is a cosmopolitan parasite which affects Old World Monkeys and Apes. It has namely been described in rhesus macaques (Macaca mulatta) and chimpanzees (Pan troglotydes) (Cogswell, 2007; Strait et al., 2012).  

Description

Retortamonas intestinalis cysts are pyriform to ovoid, stain with Lugol and measure 4 to 9 µm long. They have a thin and non-refringent outer membrane and contain one to two nuclei (Euzéby, 2008).

Differential diagnosis

Differential diagnosis includes other small-sized protozoa, namely small flagellates and amoebas. Differentiation is based on the number and morphology of the nuclei and the size of the cyst. An iron hematoxylin stain can be useful to distinguish cytoplasmic details. A coproculture can also allow the visualization of trophozoites, hence improving diagnosis (Euzéby, 2008).

Clinical significance

Retortamonas intestinalis infections are asymptomatic in primates.

Prophylaxis and treatment

As a non-pathogenic parasite, infection by Retortamonas intestinalis does not require treatment. Nevertheless, as humans can be affected by the parasite, hygienic measures need to be taken in case of diagnosis in captive settings.