Cryptosporidium is a genus of coccidial protozoa which includes digestive parasites of many mammal (rodents, primates, equids, carnivores), reptile (lizards, snakes), bird and fish species (Fayer et al., 2000). It is important to note that cryptosporidiosis may be a zoonosis.
Epidemiology
Cryptosporidium spp. are cosmopolitan and can be found in all groups of non-human primates:
- Cryptosporidium parvum has been described in mountain gorillas (Gorilla gorilla beringei), Toque macaques (Macaca sinica sinica), northern plains gray langurs (Semnopithecus entellus thersite), purple-faced langurs (Trachypithecus vetulus philbricki), rhesus macaques (Macaca mulatta), and crab-eating macaques (Macaca fascicularis) (Graczyk et al., 2001; Ekanayake et al., 2007; Ye et al., 2012; Chen et al., 2019);
- Cryptosporidium hominis has been reported in rhesus macaques (Macaca mulatta), olive baboons (Papio anubis), François’ leaf monkey (Trachypithecus francoisi), crab-eating macaques (Macaca fascicularis), and squirrel monkey (Saimiri ) (Ye et al., 2012; Karim et al., 2014; Liu et al., 2015; Widmer et al., 2020);
- Cryptosporidium felis has been reported in rhesus macaques (Macaca mulatta) (Ye et al., 2012);
- Cryptosporidium suis has been reported in Coquerel’s sifakas (Propithecus verreauxi coquereli) (da Silva et al., 2003);
- Undetermined Cryptosporidium organisms have been described in lemurs (Lemuridae), loris (Nycticebus ), squirrel monkeys (Saimiri spp.), tamarins (Saguinus spp.), spider monkeys (Ateles spp.), baboons (Papio spp.), macaques (Macaca spp.), mangabeys (Cercocebus and Lophocebus spp.), mandrills (Mandrillus sphinx), langurs and colobus monkeys (Colobinae), siamangs (Symphalangus spp.), and gorillas (Gorilla gorilla) (Strait et al., 2012; Cacciò & Widmer, 2014).
Description
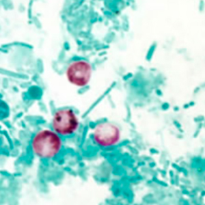
Cryptosporidium oocysts do not stain with Lugol. They are small, round, refringent structures measuring 4 to 6 µm in diameter. Their content cannot be visualized using optic microscopy. Their identification requires a modified Ziehl-Neelsen stain, which stains the parasites, that appear red to pink on a blue to green background. It is impossible to distinguish species of Cryptosporidium without molecular biology (Hoffman, 2017).
Differential diagnosis
Differential diagnosis includes all small flagellate, amoeba and coccidial oocysts, and non-parasitic small-sized elements. However, small cysts of flagellates and amoebas (namely Retortamonas intestinalis, Enteromonas hominis, Endolimax nana, and Entamoeba hartmanni) often stain with Lugol stain and contain a nucleus (Hoffman, 2017). Like Cryptosporidium spp., other coccidial oocysts normally stain with modified Ziehl-Neelsen stain and not with Lugol but are typically larger in size. Non-parasitic elements do not stain with neither modified Ziehl-Neelsen nor Lugol stain (Petithory et al., 1995).
Clinical significance
Cryptosporidiosis is of clinical importance mainly in young and immunosuppressed animals, namely those affected by Simian Immunodeficiency Virus (SIV). It can cause abdominal pain, nauseas, profuse diarrhea, lethargy, dehydration, weight loss, hypothermia and eventually lead to death (Wilson et al., 1984). Concomitant extra-intestinal affections can also derive from cryptosporidiosis in immunosuppressed animals, like conjunctivitis (Baskin, 1996), pancreatic and biliary disorders (Kovatch & White, 1972; Kaup et al., 1994) or bronchopneumonia (Yanai et al., 2000). Cryptosporidium infection is normally asymptomatic in healthy adults.
Prophylaxis and treatment
As some Cryptosporidium species are transmissible to humans, hygienic measures need to be taken in case of diagnosis. It is important to consider that Cryptosporidium oocysts are extremely resistant. There is currently no treatment for Cryptosporidium spp. infections in non-human primates (Calle & Joslin, 2015; Murphy, 2015; Williams, 2015).




